4.4 El Drenaje Biliar En El Tratamiento Percutáneo De La Obstrucción Biliar
4.4 El Drenaje Biliar En El Tratamiento Percutáneo De La Obstrucción Biliar
Los pacientes con tumores de la vía biliar o zonas adyacentes, pueden desarrollar en el transcurso del proceso obstrucciones de la vía, que añaden a una enfermedad de por sí grave, un aspecto que exige un tratamiento precoz. La ictericia, el prurito y si se llega a producir, la infección, necesitan una reparación inmediata y lo menos agresiva posible.
-2.jpg)
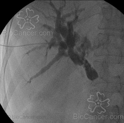
Figura 2.- Opacificación de la vía biliar mediante punción transparieto-
hepática que evidéncia obstrucción en colédoco pancreaticoy consiguiente
dilatación de la vía biliar proximal a la obstrucción.
La punción de la vía biliar dilatada, se realiza a través del 10º espacio intercostal con una aguja de muy pequeño calibre, que se introduce a nivel de la línea medio-axilar tras la aplicación de anestesia local y en ocasiones acompañada de sedación. Tras varios pasos intermedios, se ubica un catéter en la porción proximal de la vía biliar con el que ya se puede retirar la bilis al exterior (drenaje biliar externo) (Fig.2). Si pasamos con un catéter apropiado, podremos ubicar un catéter con muchos orificios en la porción proximal y distal de la obstrucción (drenaje biliar interno), de esta forma la bilis ya no será retirada al exterior, sino que pasará al tubo digestivo a través de los orificios del catéter. En ocasiones, tras efectuar el estudio de extensión del tumor, se podrá indicar la liberación de una prótesis en la zona ocluida, con lo cual el paciente no dependerá de un catéter para el drenaje de su bilis (Fig.3). La limitación de las prótesis en la vía biliar está, igual que pasaba con las esofágicas en su corto período de permeabilidad, hecho este que las limita para usar solo en pacientes con expectativa de vida corta.
Como indicaciones generales podríamos considerar obstrucción hepática con sepsis, prurito o descompensación hepática y como indicaciones específicas el tratamiento paliativo de la obstrucción maligna avanzada, descompresión pre-operatoria, sepsis, colangitis, absceso hepático, fallo de una anastomosis bilio-entérica. Siguiendo a un drenaje biliar interno, se podría implantar una endoprótesis, dilatar una estenosis con balón, realizar biopsias o disolver/extraer cálculos (10).