3. ¿y Cómo Se Hace Para Saber Si Una Neoplasia Es Benigna O Maligna?
3. ¿y Cómo Se Hace Para Saber Si Una Neoplasia Es Benigna O Maligna?
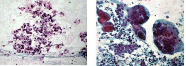
Hay que aplicar criterios morfológicos, usando un concepto fundamental: el de diferenciación. En líneas generales, se considera que las neoplasias cuyas células se parecen más a las células normales de las que presuntamente proceden suelen tener mejor pronóstico que aquéllas cuyas células presentan menor semejanza con las células normales. Las células menos diferenciadas suelen llamarse anaplásicas. Esta semejanza o grado de diferenciación, que suele expresarse en grados (a mayor semejanza, menor grado) supone a la vez un criterio de definición de las neoplasias y un criterio pronóstico. La anaplasia es, por sí misma, una característica fundamental de la transformación maligna. No obstante, la semejanza entre las células neoplásicas y las normales puede ser tanta que a veces resulta imposible la distinción tomando en consideración células aisladas. La ausencia de diferenciación, o anaplasia, se suele asociar a variaciones morfológicas nucleares peculiares, llamadas pleomorfismo, y a un fenómeno básico: agrandamiento del núcleo, con proporción núcleo-citoplásmica aumentada.
Aparte de los cambios morfológicos celulares, las neoplasias pueden presentar cambios arquitecturales (alteraciones en la orientación de las células y en la disposición tisular), fenómenos de infiltración de tejidos vecinos, crecimiento más acelerado y posibilidad de metastatizar. La evaluación de todas estas características permite en general distinguir entre neoplasias benignas y malignas.
-2.jpg)
Figura 2. Ejemplo de dos neoplasias suprarrenales (citología por punción con aguja fina), una bien diferenciada (izqda.) y otra muy anaplásica con un pleomorfismo extremo (dcha.)