5. Síntesis Local De Estradiol En Cáncer De Mama


5.    Síntesis Local De Estradiol En Cáncer De Mama

Particularmente relevante es el hecho de que la aromatasa se exprese abundantemente en los tumores de mama. Utilizando como sustrato los siempre disponibles andrógenos suprarrenales, la aromatasa y otros enzimas proveen a las células tumorales de una fuente intracelular de estrógenos capaz de elevar su concentración de 4 a 6 veces en relación con el plasma.

Los mecanismos que dan lugar a semejante elevación de la concentración no están enteramente dilucidados, pero es comúnmente aceptado que el tejido mamario dispone de la maquinaria biosintética, además de la aromatasa, para lograrlo de manera autónoma (Fig. 5a)

La expresión de aromatasa en cáncer de mama es heterogénea, con aproximadamente 2/3 de los cánceres expresando niveles elevados del enzima (Fig. 5b). La aromatasa normalmente se concentra en grupos de células que la expresan fuertemente. Los datos existentes sugieren que la mayor concentración de estradiol se da en los tumores con mayor proporción de estroma, cuyos fibroblastos constituyen el tipo celular con mayor concentración de aromatasa. Las epiteliales tumorales ocasionalmente forman grupos que expresan aromatasa; las restantes células, incluyendo las adiposas estromales, las inflamatorias y las células epiteliales sanas expresan menores niveles, o no expresan en absoluto, la aromatasa.



SÍNTESIS DE ESTRADIOL EN LA CÉLULA MAMARIA

          Figura 5a. SÍNTESIS DE ESTRADIOL EN LA CÉLULA MAMARIA

          Los tumores mamarios disponen de los enzimas capaces de convertir localmente

          precursores androgénicos y estrogénicos en estradiol, con lo que disponen de una

          fuente de estímulo para el crecimiento tumoral no interrumpida por la menopausia.

          En efecto, los fibroblastos estromales del tumor expresan aromatasa en cantidades

          importantes al menos en 2/3 de los tumores. El tumor dispone del resto de los

          enzimas necesarios para convertir el sulfato de estrona en estrona (sulfatasa),

          y la estrona en estradiol (17-hidroxiesteroide deshidrogenasa). Dada la abundancia

          de las formas sulfatadas, la actividad sulfatasa del tumor juega un papel importante,

          y constituye una diana molecular muy codiciada.



Algunos autores sostienen que, una vez se ha producido la malignización de las células epiteliales, su crecimiento es impulsado por la producción local de estradiol. La expresión del gen de la aromatasa (CYP19AROM) está a su vez influenciado por factores de crecimiento producidos por las propias células tumorales. Éstas recibirían el doble estímulo estrogénico y de factores de crecimiento, que sinérgicamente estimularían su proliferación.

Las células tumorales expresan también sulfatasa, que aporta una fuente adicional de estrona desde el sulfato de estrona circulante -el estrógeno circulante más abundante-, con posterior conversión a estradiol por la 17-hidroxiesteroide deshidrogenasa. La importancia relativa de ambas vías de síntesis de estradiol está aún en discusión. Es interesante constatar que las sulfatasas son inhibidas por los progestágenos (medroxiprogesterona), lo que puede constituir una de las claves de su actividad antitumoral.



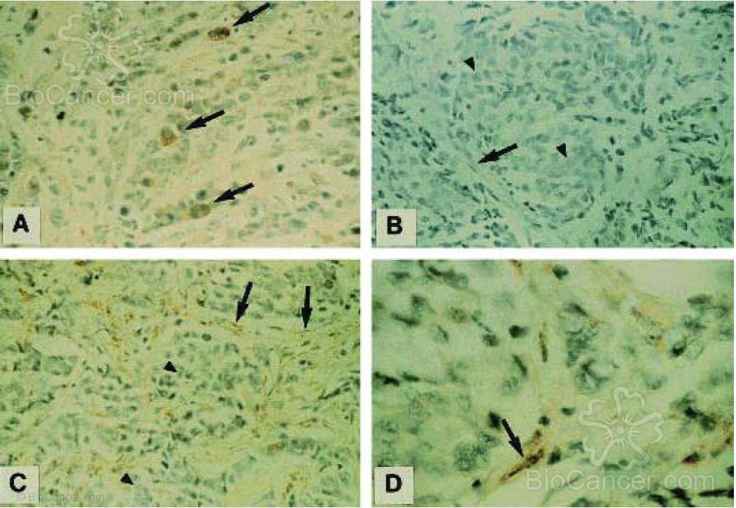
EXPRESIÓN DE AROMATASA EN TIPOS CELULARES DE CÁNCER DE MAMA

          Figura 5b. EXPRESIÓN DE AROMATASA EN TIPOS CELULARES DE CÁNCER DE MAMA

          La expresión de aromatasa en cáncer de mama puede tener lugar en células de origen

           epitelial (A, teñida con anti-aromatasa, vs. B, teñida con anticuerpo irrelevante) o, más

           frecuentemente, en fibroblastos del estroma tumoral (C y D).